Neuropatia óptica: risco de cegueira pela ingestão de álcool contaminado com metanol
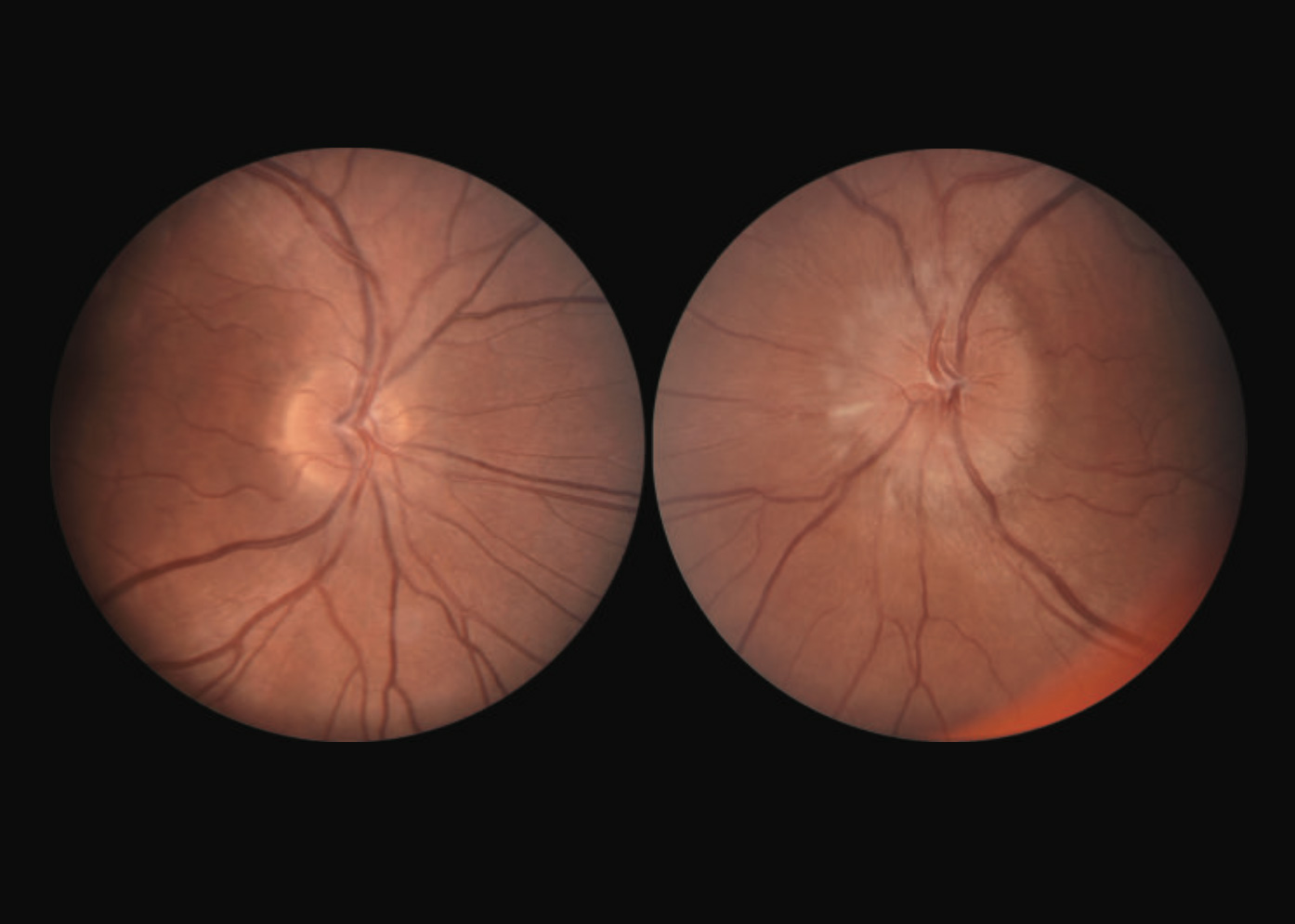
A neuropatia óptica por metanol, um tipo de álcool tóxico usado em solventes e combustíveis e encontrado em bebidas adulteradas, é uma doença grave que pode levar à perda irreversível da visão. Além de afetar os olhos, pode levar à morte se não for tratada rapidamente.
Os sintomas aparecem geralmente entre 12 e 24 horas após a ingestão, podendo surgir antes quando a quantidade é grande. Entre eles estão: dor de cabeça, náuseas, vômitos, dor abdominal, confusão mental e, principalmente, visão turva repentina ou até cegueira.
O diagnóstico é feito pela história clínica e por exames de sangue e de imagem, que ajudam a confirmar a intoxicação.
O tratamento deve ser imediato e tem como objetivo impedir que o organismo transforme o metanol em substâncias ainda mais tóxicas. Para isso, podem ser usados antídotos (como o etanol venoso), bicarbonato (para corrigir a acidez no sangue), vitaminas (ácido fólico/folínico) e, nos casos mais graves, hemodiálise (para remover o veneno).
Mesmo com tratamento, muitos pacientes apresentam sequelas visuais permanentes. Por isso, trata-se de uma emergência médica e oftalmológica: quanto mais rápido o atendimento, maiores as chances de salvar a vida e preservar a visão.
Prof. Dr. Mario Luiz Ribeiro Monteiro – Presidente da ABNO
Prof. Dr. Eric Pinheiro de Andrade – Vice-presidente da ABNO
